Ультразвуковой прибор для удаления зубного камня
Электрический ороситель для полости рта Peicon
Electric Sonic Dental Calculus Scaler Oral Teeth Tartar Remover Plaque Stains...
Цена: 0 ₽
В избранное
Характеристики
- Название бренда:peicon
- Происхождение:Китай
- Тип:Ороситель для полости рта с электроприводом
- Тип товара:устные ирригатор
- Возраст:Взрослые
- Сертификация:UL, GS, Евротест (СЕ), Обязательный сертификат КНР
- Источник питания:Электрический
- Есть ли батарейки в комплекте:YES
- Сертификация качества товара:3C, Европейский сертификат соответствия, UL, GS
- Единица измерения:штука/штуки
- Количество:1
- Количество насадок:2
- Количество режимов работы:3
- Вид зарядного устройства:Перезаряжаемые
- Model Number:G6/2058
- Scaler Tips Model:G1/G2/G3/G4/G5/G6
Отзывы
-
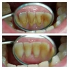
В общем отписываю реальный пруф. Заказал 2 комплекта со склада в РФ, дошло за 3 дня до Питера, Второй комплект брал в подарок. Упаковки целые и аккуратные. Видео инструкция понятна, картинки на китайской инструкции понятные. Фото своих зубов прилагаю, на фотке видно чистка одного зуба за 3 минуты удалил налет. Вся чистка вышла за максимум полтора часа. Думаю мелкие точки, уберу тонкой насадкой. Я заядлый курильщик и не обращался к стоматологу лет так 7, но такого эффекта и вправду не ожидал. Никакого дискомфорта состороны десен и зубов. После чистки стало очень комфортно. Респект китайцам. Подтверждаю, что все положительные отзывы ниже, правдивые. Считаю, что такой прибор должен находиться в каждой семье, цена его ничтожна мала, по сравнению с походом к врачу, за его чисткой. И то, не каждый врач, вам так хороше почистит, как сами себе. Берите смело. Буду также всем своим близким советовать это чудо устройство.
Oleg R. 9 июня 2022 -
Продавец молодец, быстро оформил и отправил заказ. Пришел скалер без повреждений. Продавец положил в качестве бонуса дополнительные насадки. Спасибо. очень приятно.Скалер опробывал - работает. Нужно еще немного приспособится к нему. Продавцу респект. Товар рекомендую к покупке.Sergei F. 20 февраля 2024
-
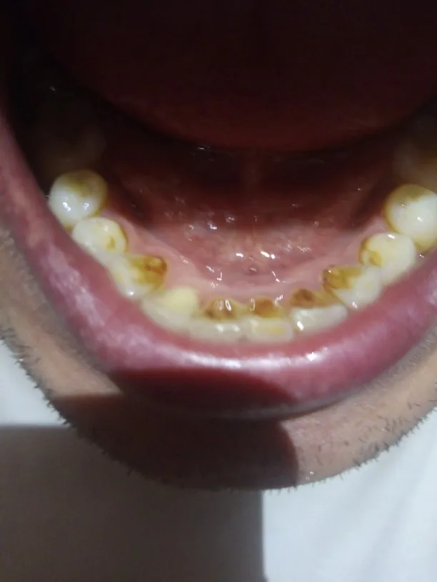
Такая классная штука, реально работает! До последнего не верила, но она отлично убирает камень и налёт от кофе и никотина! На фото первая проба и то хорошо видна разница. Я не знаю, как это работает, но когда касается кожи, то ничего не происходит, словно не работает, а вот по зубам слегка вибрирует и издаёт очень неприятный звук, я аж испугалась. При этом нет никаких болевых ощущений, всё комфортно. В комплекте 2 насадки, вкручиваются и фиксируются специальным ключом. Есть подсветка. Три режима мощности. Мне не повезло и был брак индикатора батарии, он просто в полоску и не показывает уровень заряда. Но на функционал это не влияет, так что спор не открывала. Доставка до Москвы около недели в пастомат. Спасибо :)
Natali M. 19 декабря 2021 -
Брала полный комплект. Инструменты пришли в отдельном пакете - качество у них на высоте, металл хороший, тяжёлый, сделаны профессионально. Сам прибор прекрасно упакован, был полностью заряжен, что позволило сразу же его испробовать в деле. Включается долгим нажатием на кнопку пуск, при этом загорается подсветка. Режимы переключаются короткими нажатиями на ту же кнопку. На дисплее отображается уровень заряда и название режима soft(мягкий), comfort(понятно) и strong(сильный). Выбрала сразу последний режим, так как с начала пандемии не делала чистку. При работе головка слабо вибрирует, неприятных ощущений нет. По сравнению с профессиональной чисткой в стоматологии, видно что прибор не такой мощный, но при некоторой доли упорства и за несколько приёмов им вполне можно удалить даже существенные дефекты - камни и пятна на зубах. Скорее всего из-за более щадящего воздействия, он и не портит так эмаль. Мой вердикт - прибор работает, пригоден для домашнего применения.
Larissa S. 13 июня 2022 -
Классная штука!!) я удалил всё камни без проблем) есть 3 режима мягкий, нормальный и сильный, переключаются удержанием кнопки вкл. Есть подсветка и она очень выручает. Мне сие чудо досталось со скидкой и купоном за 1200р вместе с инструментами(пинцет, зеркальце и что то типа шила)) не знаю как называется) инструменты мне лично не пригодились) только если делаешь сам себе за верхнем рядом то пригодится зеркальце. Доставка примерно 2 недели до Белгорода) короче каждый рубль себя окупил) всём рекомендую у кого частые проблемы с камнем на зубах)
MAX G. 22 января 2022 -
Скалер ультразвуковой 1086р с купоном. Точно такой же эффект, как у стоматолога. Этот аппарат стоит потраченных денег и более того. В этом заказе все замечательно: и быстрая доставка, и качество прибора, и комплектация. Много писать не вижу смысла - на странице товара множество положительных отзывов. Главное не забывать, что ультразвуковая чистка не должна проводиться слишком часто и не отменяет похода к стоматологу. Продавца и устройство рекомендую!
zhanna k. 17 января 2022 -
Товар не работает. Продавец морочит голову, учит как правильно включать подзарядку. Соглашается что выслал вместо полного комплекта, только скалер, и тот не работает. Отказывается вернуть деньги, когда спор открыт. Просит закрыть спор. Но в споре выставляет возмещение 0$ с пометкой что не видит проблем с посылкой. Игнорирует ваши сообщения, и всегда смайлик со слезами. Хорошо что алиэкспресс вернул деньги. Продавец шарлатан и мошенник.
Kir 1. 25 ноября 2021 -
В Беларусь шло около трёх недель. Странно, но коробка вообще нигде не помята, упаковка выглядит очень даже презентабельно. Проверил в работе - реально работает как на видео продавца! Камень расщепляет на глазах! Не хочу фоткать свои страшные зубы, но от эффекта ДО и ПОСЛЕ я был в шоке. Всё работает отлично, берите смело, хороший аппарат, и не слушайте того кто пишет что отзывы фейковые. Продавцу 5 звёзд!
Vital B. 2 января 2022
Описание
Внимание
1.Установите наконечник и затяните его;
2.Длительное нажатие для включения/выключения устройства;
3.Выберите рабочий режим;
4.В оборудовании предусмотрена функция автоматического отключения на 10 минут для предотвращения перегрева;
5.Вам необходимо отсоединить зарядный кабель перед включением и использованием;
6. Устройство работает, когда оно касается твердых предметов, таких как зубы и металл, если вы используете его на коже или других мягких вещах, оно не будет работать.































































